| Clonality | polyclonal |
| Host | Rabbit |
| Specificity | Human |
| Tested Application | ELISA, WB, IHC |
| Delivery Time | 2 to 4 working days |
| Isotype | IgG |
| Form | liquid |
| Purification | Immunogen affinity purified |
| Purity | ≥95% as determined by SDS-PAGE |
| Uniprot ID | P05120 |
| Gene ID | |
| Ссылка на страницу на сайте производителя | ссылка |
| Инструкция | PDF |
| Storage | PBS with 0.02% sodium azide and 50% glycerol pH 7.3,-20℃ for 12 months(Avoid repeated freeze / thaw cycles.) |
| Background | Inhibits urokinase-type plasminogen activator. The monocyte derived PAI-2 is distinct from the endothelial cell-derived PAI-1. |
| Immunogen | serpin peptidase inhibitor, clade B(ovalbumin), member 2 |
| Synonyms | PAI2, PLANH2 |
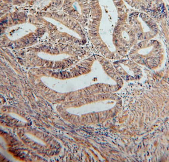
Immunohistochemistry of paraffin-embedded human endometrial cancer using FNab07746(SERPINB2 antibody) at dilution of 1:50
 |
| | |