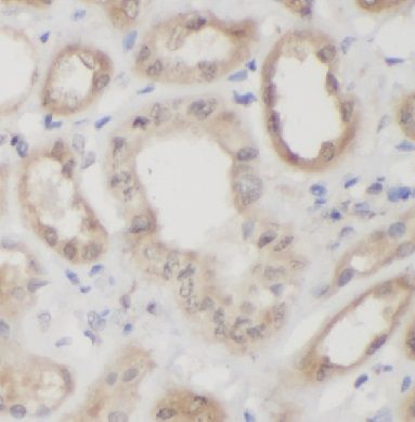
anti- VNN1 antibodyСпецификация| Highlight | New Arrivals -2022 | | Clonality | polyclonal | | Host | Rabbit | | Specificity | Human | | Tested Application | ELISA, WB, IHC | | Delivery Time | 2 to 4 working days | | Isotype | IgG | | Form | liquid | | Purification | Immunogen affinity purified | | Purity | ≥95% as determined by SDS-PAGE | | Uniprot ID | O95497 | | Gene ID | | | Calculated MW | 55-72 kDa | | Ссылка на страницу на сайте производителя | ссылка | | Инструкция | PDF | | Storage | PBS with 0.02% sodium azide and 50% glycerol pH 7.3,-20℃ for 12 months(Avoid repeated freeze / thaw cycles.) | | Background | Amidohydrolase that hydrolyzes specifically one of the carboamide linkages in D-pantetheine thus recycling pantothenic acid(vitamin B5) and releasing cysteamine. | | Immunogen | vanin 1 | | Synonyms | HDLCQ8, Pantetheinase, Pantetheine hydrolase, Tiff66, vanin 1, VNN1 | | Recommended dilution | WB: 1:200-1:2000; IHC: 1:50-1:500 | | | |
Информация для заказа| Область использования: | Производство: | Fine Biotech | | Метод: | Антитела | | Объем: | 100µg | | Кат. номер: | FNab10347 | | Цена (с НДС 20%): | по запросу | В корзину  | Наименование: anti- VNN1 antibody. Примечание: |
|