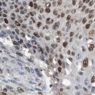
anti- DPF2 antibodyСпецификация| Clonality | polyclonal | | Host | Rabbit | | Specificity | Human, Mouse, Rat | | Tested Application | ELISA, WB, IHC, IF, IP | | Delivery Time | 2 to 4 working days | | Isotype | IgG | | Form | liquid | | Purification | Immunogen affinity purified | | Purity | ≥95% as determined by SDS-PAGE | | Uniprot ID | Q92785 | | Gene ID | | | Calculated MW | 44-50 kDa | | Ссылка на страницу на сайте производителя | ссылка | | Инструкция | PDF | | Storage | PBS with 0.02% sodium azide and 50% glycerol pH 7.3,-20℃ for 12 months(Avoid repeated freeze / thaw cycles.) | | Background | May be a transcription factor required for the apoptosis response following survival factor withdrawal from myeloid cells. Might also have a role in the development and maturation of lymphoid cells. | | Immunogen | D4, zinc and double PHD fingers family 2 | | Synonyms | BAF45D, REQ, UBID4 | Immunohistochemistry of paraffin-embedded human lung cancer using FNab02515(DPF2 antibody) at dilution of 1:50
 | | | |
Информация для заказа| Область использования: | Производство: | Fine Biotech | | Метод: | Антитела | | Объем: | 100µg | | Кат. номер: | FNab02515 | | Цена (с НДС 20%): | по запросу | В корзину  | Наименование: anti- DPF2 antibody. Примечание: |
|