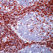
Моноклональные кроличьи антитела к CD5CD5 (clone SP19) Спецификация| Клон | SP19 | | Обработка | low pH 6 | | Разведение | 1:100 | | Время инкубации | 20 минут | | Регистрационное удостоверения и пункт РУ | ФСЗ 2010/07400, пункт 28 | | | |
Информация для заказа| Область использования: | Производство: | Thermo Fisher Scientific | | Метод: | Иммуногистохимия | | Объем: | 0.1ml | | Кат. номер: | RM-9119-S0 | | Цена (с НДС 10%): | по запросу | В корзину  | Наименование: Моноклональные кроличьи антитела к CD5 / CD5 (clone SP19) . Примечание: Клон: SP19 |
|